Observation et mesure de semi-conducteurs de puissance (dispositifs d’alimentation) au microscope numérique
Contrairement aux semi-conducteurs classiques traitant des données, tels que les processeurs et mémoires, les semi-conducteurs de puissance commandent l’alimentation électrique et sont appelés dispositifs d’alimentation. Retrouvez, dans cette section, des exemples d’observation et de mesure de semi-conducteurs de puissance (dispositifs d’alimentation) au microscope numérique.

- Qu’est-ce qu’un semi-conducteur de puissance ?
- Fonctions des semi-conducteurs de puissance
- Types et caractéristiques des semi-conducteurs de puissance
- Exemples d’observation et de mesure de semi-conducteurs de puissance (dispositifs d’alimentation) au microscope numérique
Qu’est-ce qu’un semi-conducteur de puissance ?
Bien qu’aucune définition claire n’ait été établie, on appelle généralement semi-conducteurs de puissance les semi-conducteurs qui commandent de grands débits de tension et de courant et affichent un courant nominal de 1 A minimum.
Fonctions des semi-conducteurs de puissance
- Onduleur :
- Convertit le courant continu (CC) en courant alternatif (CA).

- A : Onduleur
- a : Courant continu
- b : Courant alternatif
- Transformateur :
- Convertit le courant alternatif en courant continu.

- A : Transformateur
- a : Courant alternatif
- b : Courant continu
- Conversion de fréquence :
- Convertit la fréquence de courant alternatif.

- A : Conversion de fréquence
- a : Courant alternatif
- Régulateur :
- Convertit la tension CC.

- A : Régulateur
- a : Courant continu
Types et caractéristiques des semi-conducteurs de puissance
Diode de puissance
Fonction : Rectification
Les diodes de puissance guident le courant suivant une seule direction sans basculement.
Transistor de puissance
Fonction : Basculement et amplification
- Thyristor
- Les thyristors ont été les tout premiers transistors de puissance mis sur le marché et se caractérisent par leur tension de tenue élevée.
- Transistor de puissance à effet de champ, réalisé en technologie MOS (MOSFET)
- Les MOSFET de puissance se caractérisent par leur haute vitesse et leur fréquence élevée. Ces transistors de puissance sont principalement employés dans les produits affichant une faible tension de tenue, de l’ordre de 200 V maximum. C’est le cas des appareils informatiques, tels que les ordinateurs portables.
- Transistor bipolaire à grille isolée (IGBT)
- Les IGBT se caractérisent par leur haute tension de tenue, leur haute vitesse et leur haute fréquence. Ces transistors de puissance sont généralement exploités dans les produits affichant une tension de tenue moyenne à élevée, de l’ordre de 200 V minimum. C’est le cas des véhicules électriques, véhicules hybrides et wagons.
Exemples d’observation et de mesure de semi-conducteurs de puissance (dispositifs d’alimentation) au microscope numérique
Voici les derniers exemples d’observation et de mesure de semi-conducteurs de puissance au microscope numérique 4K Série VHX de KEYENCE.


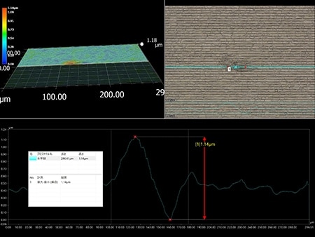
Observation d’une section défectueuse sur un semi-conducteur de puissance
Le mode d’ombres accentuées permet de visualiser les irrégularités de surface, facilitant la détermination de la cause du défaut : adhérence ou entaille.


Observation du matériau semi-conducteur de puissance pour wafer
La fonction de suppression du halo élimine les reflets sur la surface.


Observation de charges dans la résine moulée d’un semi-conducteur de puissance
La fonction HDR améliore le contraste, permettant une mesure précise du profil des charges.




